전체 글

요기요 반값할인 3월 마지막주 라인업 요기요 반값할인 3월 마지막주 라인업 3월 한달간 요기요 반값할인 진행으로 많은 인기를 끌었던 요기요 반값할인 3월 마지막주 라인업이 공개되었다. 이벤트 할인 혜택은 배달 어플(앱) 요기요 회원가입 후 진행 기간동안 할인 쿠폰을 다운로드 받아 요기요 터치주문을 통한 요기서 결제 or 요기서 1초결제 시 할인 혜택을 받을 수 있다 3월 마지막주 요기요 반값할인 라인업은 다음과 같다. 3월28일(목) 배스킨라빈스, BBQ 3월29일(금) 후라이드 참 잘하는집(후참), 피자헛, 죠스떡볶이, BBQ 3월30일(토) 처갓집 양념통닭, 죠스떡볶이, BBQ 3월31일(일) 또래오래치킨, 죠스떡볶이, BBQ 더보기
1회용 비닐봉투 사용금지 단속 강화 1회용 비닐봉투 사용금지 단속 강화 지난 자원재활용법 시행규칙 개정으로 1회용품 사용규제가 완화되면서 2019년 4월1일부터 대규모 점포, 슈퍼마켓, 제과점 등 1회용 비닐봉투를 사용한 업소를 상대로 과태료를 부과한다고 밝혀왔다. 강화된 규제 내용은 기존 무상제공금지 대상이었던 대형마트, 슈퍼마켓 등에서 1회용 비닐봉투 사용이 금지 되었지만, 비닐봉투 사용규제 대상업종에 포함되지 않았던 제과점 등 1회용 비닐봉투 무상제공금지 대상에 포함되었따. 종이재질의 봉투, 쇼핑백, 생선,채소, 정육 등 식료품의 겉면에 수분이 있는 제품이나 냉장 보관 제품으로 상온에서 수분이 발생하는 제품을 담기 위한 합성수지재질의 봉투는 예외 대상이다. 식료품에 수분이 없더라도, 과일, 흙이 묻은 채소 등은 속비닐 사용이 허용된다.. 더보기
GS편의점 반값 택배 시작 GS편의점 택배 반값 시작 CJ택배가 27년만 택배비 인상을 발표한 가운데, GS25 편의점 택배에서는 기존 편의점 물류 배송 인프라를 활용하여 비용을 반값수준으로 줄인 반값택배를 시작하였다. 원래 GS편의점 택배 요금은 최저 2,600원부터 시작으로 배송시간은 평일 17시, 토요일 12시 이전 접수 시 익일 배송가능한 gs택배 가격이었으나, 전국 최저 1,600원짜리 편의점 택배 가격이 나와 주목받고 있다. GS편의점 반값 택배 최저 가격은 1,600원부터 2,100원까지 무게 500g 미만의 경우 최소 요금인 1,600원이 적용된다. 500g ~ 1kg 사이 무게의 물건은 1,800원이다. 다만 gs25 편의점 택배 반값은 접수부터 택배 수령까지 소요기간은 약 4일정도로 일반 편의점 택배보다 다소 택.. 더보기
실리콘 지문으로 출퇴극 조작한 군의관 8명 적발 실리콘 지문으로 출퇴극 조작한 군의관 8명 적발 상상으로만 하던 수법인 출퇴근 시간을 실리콘 지문으로 본을 떠 놓고 서로 다른 사람의 출퇴근 시간을 입력한 군의관 8명이 적발되었다. 국군 의무사령부 소속 군의관 8명은 실리콘 지문을 사용하여 출퇴근 시간을 조작하였으며, 당번을 서로 정해 놓고, 서로의 실리콘 지문을 입력해 주는 방법으로 근무 시간을 늘리고, 일부는 실리콘 지문을 이용하여 야근 수당까지 부당하게 챙겼다고 한다. 해당 군의관이 병원에 없는데도 출근으로 기록된 점을 수상하게 여긴 병원측에서 제보로 군의관 8명이 실리콘 지문으로 출퇴근 시간을 조작한 시간과, 병원 CCTV화면을 대조하여 사실을 확인하였다. 적발된 군의관 8명을 헌병대에 넘겨 횡령 등의 혐의에 대하여 조사하는 중이며, 여러명이 이.. 더보기
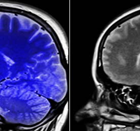
5월 두경부 MRI 건강보험 적용 시작 5월 두경부 MRI 건강보험 적용 시작 MRI(Magnetic Resonance Imaging, 자기공명영상)이라는 것은 자기장을 발생하는 큰 자석 통안에 인체가 들어가게 한 뒤 고주파를 쏘아 인체에서 메아리와 같은 신호가 발산되는것을 받아 디지털 정보로 변환하여 영상화 하는 것이다.뇌,뇌혈관 등 MRI 건강보험 적용 확대를 시작하여 오는 5월에는 두경부 눈, 귀, 코, 안면 등 MRI 검사가 건강보험 적용이 되어 환자의 부담이 3분의1 정도 수준으로 줄어들게 된다. 증증 질환이 의심이 되어도 MRI 검사 결과가 뇌종양, 뇌경색, 뇌전증, 혈관종, 악성종양 등 질환이 진단 된 환자만 건강보험 혜택을 받을 수 있었던 MRI 검사였지만, 의사가 MRI 검사를 통한 정밀 진단이 필요하다고 판단한 경우까지 건강.. 더보기
서울대 교수 성추행 솜방망이 처벌 논란 서울대 교수 성추행 솜방망이 처벌 논란 지난달 2월 서울대 서어서문학과에서 석사과정을 마치고 현재 유학중인 것으로 밝혀진 피해 학생이 성추행 가해자로 지목된 서울대 A교수를 비판하는 대자보를 붙여 논란이 확산되었으나, 3개월 정직 권고를 내린 것에 대하여 솜방망이 징계라며 반발하였다. 계속 된 징계 규정 개정 요구에도 응하지 않고, 인권센터가 서어서문학과 A교수에게 다시금 정직 3개월을 권고하는 결과를 가지고 온 상황에 서울대 재학생과 졸업생 2,343명이 제자를 성추행한 의혹을 받고 있는 서어서문학과 A 교수의 파면을 요구하는 기자회견을 열었다.서울대 성추행 A교수 측은 성추행 의혹이 과장되고 왜곡 되었다 해명하고 있다. 한편 서울대 A교수는 제자들이 A교수 개인 이메일을 무단으로 열람하여 빼낸 자료들.. 더보기
화성 일가족 사망 충격적인 진실은 화성 일가족 사망 충격적인 진실은? 경기도 화성에서 일가족이 사망한 채로 발견되었다. 3월26일 오전 이날 오전 1시27분쯤 전날 오후 10시쯤 집에 온다는 누나가 아직 오지 않고 있고 휴대전화가 꺼져있다는 신고를 받고 수색에 나선 경찰은 1시간 뒤 오전 2시23분 화성 오산동의 한 길거리에 세워진 차 안에서 일가족 4명이 사망해 있는 것을 발견 했다. 경찰은 타살 흔적이 없고, 차 안에서 극단적인 선택을 할 때 사용되는 도구(번개탄)가 함께 발견 된 점으로 보아 화성 일가족 사망은 극단적인 선택을 한 것으로 추정하고 있다. 30대의 젊은 부부, 5살, 3살 남매가 극단적 선택에 의하여 목숨을 잃은것으로 보아 안타까움을 금치 못하고 있다. 더보기
강릉 사고 현장 원인 조사, 대학생 등 5명 10대 사망 강릉 사고 현장 원인조사 동해안 드라이브 코스로 유명한 헌화로는 강릉시 옥계면 금진로 헌화로 해안도로(심곡 ~ 금진항)은 급 커브길이 많아 사고위험이 높은 곳으로 26일 해안도로 인근 바다에서 승용차가 가드레일을 들이 받고, 바다로 추락하여 만18세, 19세 청년이 숨진 강릉 사고 현장은 처참했다. 26일 오전6시35분 쯤 강릉 사고 현장에서 조금 떨어진 심곡-금진 사이 바다에 차량이 떠있다는 신고를 받고 연안구조정 등을 동원하여 차량한에 갖혀있던 남성3명, 여성2명을 구조했으나 모두 의식이 없는 상태였다.친구들 사이인 이들은 카 셰어링 업체에서 아는사람의 명의로 차를 빌려탄 뒤 강릉 사고 현장을 가다가 변을 당한 것으로 알려졌다.카셰어링 서비스 차량은 만 21세 이상으로 운전면허 취득 1년이 넘어야 빌.. 더보기